A sugárterápia kulcsfontosságú eleme a rákkezelésnek, célja a daganatos sejtek elpusztítása a környező egészséges szövetek lehető legkisebb károsítása mellett.
Ennek eléréséhez elengedhetetlen a pontos besugárzástervezés, amelynek alapja a kezelendő céltérfogat (daganat) és a környező kockázati szervek (pl. tüdő, szív, gerincvelő) pontos meghatározása a képalkotó felvételeken (CT, MRI), amit kontúrozásnak (körberajzolásnak) hívnak. Ez a folyamat hagyományosan manuálisan, kézi rajzolással történik, ami időigényes és operátorfüggő lehet.
Mesterséges intelligencián alapuló szervkontúrozó szoftverek
A mesterséges intelligencia (MI), különösen a mélytanulás (deep learning) térnyerése forradalmasítja a sugárterápiás tervezést, beleértve a szervkontúrozást is. Az MI-alapú szoftverek automatizálják ezt a feladatot, jelentősen felgyorsítva és standardizálva a folyamatot.
Hogyan működnek? Ezek a szoftvereket nagy mennyiségű, szakorvosok által manuálisan kontúrozott képalkotó adatokkal (CT, MRI felvételek) tanítják. A betanítás során az MI modell megtanulja azonosítani az anatómai struktúrák jellegzetességeit és határait, majd ezt a tudást alkalmazza az új, ismeretlen felvételeken a kontúrok automatikus létrehozásához.
.
Alkalmazásának előnyei a sugárterápiás besugárzástervezésben:
Gyorsaság: Az automatizált kontúrozás percek alatt elkészül, szemben a manuális módszerrel, amely órákat is igénybe vehet. Ez különösen fontos a sürgős esetekben, vagy nagy betegforgalmú intézményekben.
Standardizálás és konzisztencia: Az MI-szoftverek objektív algoritmusok alapján végzik a kontúrozást, ezzel csökkentve az orvosok által berajzolt kontúrok közötti eltéréseket. Ez javítja a kezelési tervek egységesítését és minőségét.
Pontosság: Bár a tapasztalt szakemberek által végzett manuális kontúrozás nagyon pontos lehet, az MI-rendszerek képesek elérni, sőt bizonyos esetekben felülmúlni is az emberi pontosságot, különösen összetett vagy nehezen azonosítható struktúrák esetén.
Munkafolyamat optimalizálása: Az automatizálás révén nyert időmegtakarítással az orvosok és fizikusok több időt fordíthatnak a komplexebb feladatokra, mint például a kezelési tervek optimalizálása és felülvizsgálata.
Eredmények összehasonlítása
Az MI-alapú szervkontúrozó szoftverek eredményeinek értékelése és összehasonlítása számos metrika és módszer alapján történik.
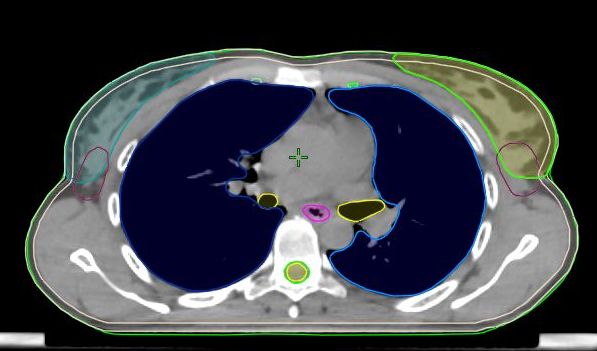
Vizuális összehasonlítás
A kontúrsorozatokat szemrevételezéssel szeletenként össze lehet hasonlítani tetszőleges orientációjó képmegjelenítéseken.Kvantitatív összehasonlítás térfogati és felületi mérőszámokkal
Különböző térfogati paraméterekkel jellemezni lehet két térfogat térbeli egyezőségét. Ezeknek az értéke általában 0 és 1 közé esik, és a magasabb érték jelenti a jobb egyezőséget. Ezen kívül a felületek közötti távolságokkal is jellemezni lehet, hogy két térfogat milyen mértékben hasonló egymáshoz.
Klinikai értékelés
Fontos megjegyezni, hogy a végső döntést mindig a szakorvos mondja ki, neki kell ellenőrizni az anatómiai szervek automatikus körberajzolásának pontosságát, és szükség esetén manuálisan kell javítania a kontúrokat. Csak ez után következhet a klinikai alkalmazás.
Kihívások és jövőbeli irányok
Bár az MI-alapú kontúrozás jelentős előnyökkel jár, vannak még kihívások, mint például a ritka vagy atípusos anatómiai viszonyok kezelése. A modell generalizálhatósága is fontos szempont a különböző intézmények és képalkotó modalitások között. A jövőben a hibrid megközelítések (MI által generált kontúrok manuális finomhangolása), a multimodális képalkotó adatok integrálása, valamint az adaptív sugárterápiában történő alkalmazása várható.
Intézetünk Sugárterápiás Központjában évente kb. 6000 beteget kezelünk külső besugárzással. Ilyen betegszámnál a kézi kontúrozás, a nagy munkaerőforrás igénye miatt, ma már kivitelezhetetlen. Továbbá, a korszerű sugárterápiában a kontúrozandó szervek száma is jóval nagyobb, mint a hagyományos sugárterápiában. Ezért jelenleg és a jövőben is, automatikus, MI használatán alapuló szervkontúrozó szoftver használatával tudjuk biztosítani betegeink magasszínvonalú sugárterápiáját.





